BLOG

Gravidez e Saúde Periodontal

Gravidez e Saúde Periodontal

Gravidez e saúde periodontal Quando falamos de gravidez e bem-estar, é impossível não falarmos também de saúde oral. Longe dos

Língua pilosa

Língua pilosa

Língua Pilosa O tecido da superfície da língua encontra-se revestido por pequenas projeções de tecido chamado papilas filiformes, que medem

Aparelho ortodôntico: Saiba o que evitar comer

Aparelho ortodôntico: Saiba o que evitar comer

O que deve evitar comer quando usa aparelho ortodôntico A cárie dentária é muitas vezes uma doença que observamos comumente

Escovas dentárias

Escovas dentárias

Escovas dentárias As escovas dentárias são a ferramenta ideal para a remoção da placa bacteriana. Atualmente assiste-se à comercialização de

Lesões não cariosas

Lesões não cariosas

Lesões não cariosas Lesão de Abrasão - Têm forma côncava Lesão de Abfração - Têm forma de V. Podem confundir-se

Importância da higiene interdentária

Importância da higiene interdentária

Importância da higiene interdentária A escovagem diária não exclui a higiene interdentária, assim como pelo facto de utilizarmos fio dentário

Nutrição e saúde oral das crianças – sugestões de um médico dentista acerca dos lanches escolares

Nutrição e saúde oral das crianças – sugestões de um médico dentista acerca dos lanches escolares

Nutrição e saúde oral das crianças - Sugestões de um médico dentista acerca dos lanches escolares Existe uma relação verificada

Aftas ou Estomatite Aftosa Recorrente

Aftas ou Estomatite Aftosa Recorrente

Aftas ou Estomatite Aftosa Recorrente A estomatite aftosa recorrente (EAR) vulgarmente conhecida como aftas, é a doença ulcerativa mais comum

Dicas para pais de 1ª viagem na higiene oral do seu bebé

Dicas para pais de 1ª viagem na higiene oral do seu bebé

Dicas para pais de 1ª viagem na higiene oral do bebé Escova dentária jordan, ideal dos 0-2 anos Pasta dentífrica

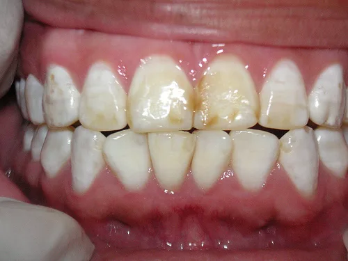
Amelogénese Imperfeita

Amelogénese Imperfeita

Sabe o porquê de ter manchas castanhas nos dentes? Hoje falamos sobre Amelogénese Imperfeita Amelogénese imperfeita é uma doença genética e hereditária