Pigmentação Extrínseca

Pigmentação Extrínseca

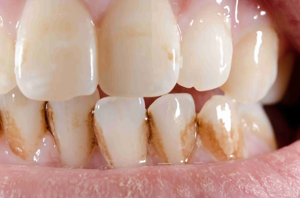
Damos o nome de pigmentação extrínseca, à pigmentação que ocorre na superfície dos nossos dentes.

O que pode causar?

Como tratar?

Os cuidados preventivos também são igualmente eficazes e importantes de salientar, pelo que deve ter em conta: