Manchas brancas/castanhas nos incisivos e molares?
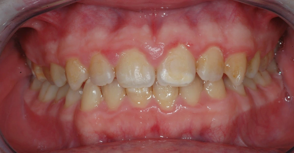
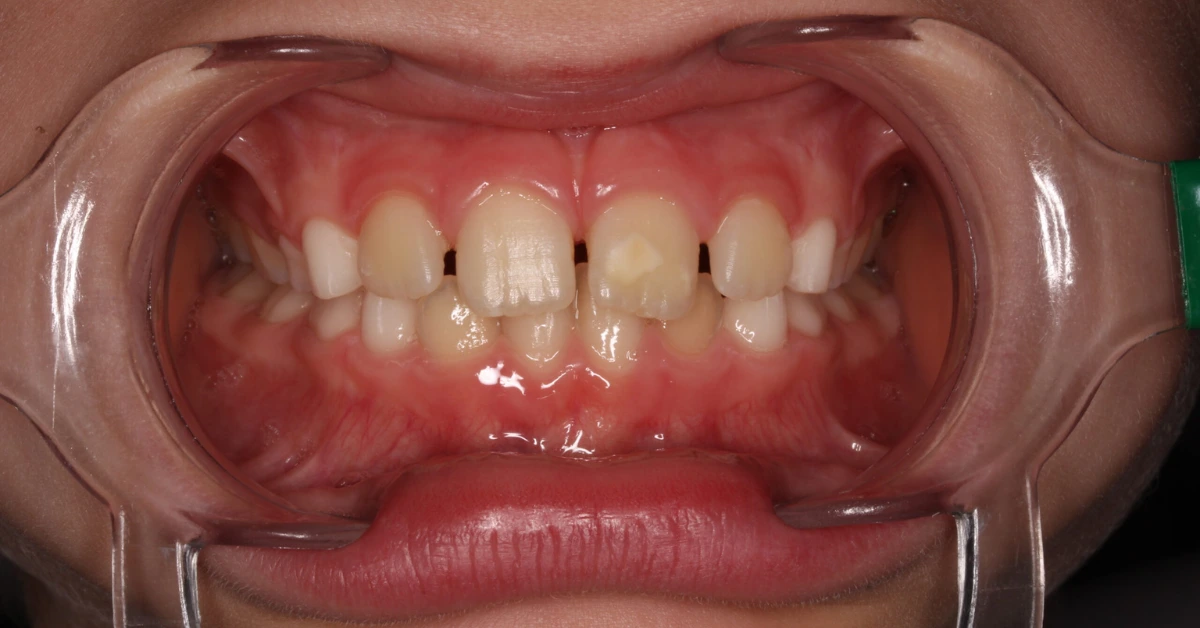
A hipomineralização incisivo-molar é uma alteração da estrutura do esmalte bastante frequente. A forma de os pais relatarem esta condição é dizerem “os dentes do meu filho, quando nasceram, já vinham assim”.
Afinal o que são?
A sua origem resulta durante a amelogénese, numa disfunção dos ameloblastos em maturar o esmalte. Clinicamente verificam-se manchas (opacidades) na superfície dentária, que podem ter coloração branca leitosa, creme, amarela ou acastanhada, principalmente na região dos 2/3 mais incisais ou dos 2/3 mais oclusais. Quanto mais escuros forem os defeitos, mais fraco é o esmalte.
O principal problema desta condição é, nos molares, a elevada sensibilidade (pela porosidade) e susceptibilidade à fratura, e nos incisivos, é a estética.
O risco de cárie é bastante aumentado, dado terem pouco conteúdo mineral, sendo que as bactérias atingem facilmente as zonas de fratura. Para piorar, como a sensibilidade é grande, o simples estímulo mecânico da escovagem provoca dor, pelo que as crianças deixam de escovar com tanta regularidade.
Uma particularidade deste problema é que, quantos mais molares estiverem afetados, maior é a probabilidade de haver também defeitos nos incisivos e mais graves serão esses defeitos.
Esta doença distingue-se da amelogénese imperfeita pelo facto de não atingir ambas as dentições nem todos os dentes.
Fatores etiológicos?
Os fatores etiológicos mais comuns da hipomineralização incisivo-molar são:
- Diabetes ou pirexia materna, náuseas e vómitos tardios;
- Nascimento prematuro ou baixo peso ao nascimento (menos de 2,5 kg), parto prolongado;
- Infeções das vias aéreas superiores, asma;
- Fibrose quística;
- Otite média e amigdalites;
- Doenças exantemáticas;
- Doença celíaca;
- Distúrbios gastrointestinais;
- Défice nutricional;
- Síndrome nefrótico;
- Intoxicações por chumbo;
- Radioterapia…
O tratamento de uma criança com hipomineralização incisivo-molar é complicado. As principais razões são:
- A cárie nos 1º molares afetados progride muito rapidamente – pela porosidade e pelo baixo conteúdo em cálcio;
- A anestesia é difícil – pela facilidade da transmissão dos estímulos, há uma inflamação pulpar crónica subclínica e torna-se difícil a anestesia atual;
- Difícil determinar a quantidade de estrutura de esmalte afetado a remover;
- Há uma repetida destruição marginal das restaurações, pela difícil adesão.
De acordo com a severidade das manchas pode ser realizado como tratamento:
- Microabrasão e microinfiltração com resina (ICON);
- Branqueamento dentário;
- Restaurações ou facetas em resina composta e facetas ou coroas cerâmicas (após adolescência).